Kne
Inspeksjon, Aktiv, Passiv, Isometrisk, Palpasjon.
Podcast & Anki
Fokusområder
- Inspeksjon:
- Gangmønster (haltende gange, normale leddutslag).
- Symmetri i kneets konturer.
- Tuberositas tibia (Osgood-Schlatter).
- Muskelatrofi (m. vastus medialis).
- Q-vinkel: menn 13°, kvinner 18°.
- Økt → genu valgum, risiko for patellaluksasjon/chondromalacia.
- Redusert → genu varum.
- Aktiv bevegelse:
- Normverdier: fleksjon 145°, ekstensjon 5°, innadrotasjon 22°, utadrotasjon 30°.
- Aktiv knebøy: vurder kraft, smerte, krepitasjon.
- Klinikk: smerter/knitring → bursitt, femuropatellar artrose, chondromalacia.
- Passiv bevegelse:
- Fleksjon/ekstensjon, hyperekstensjon, rotasjon ved 90°.
- Artrose: kapsulært mønster (fleksjon mest redusert), hard endefølelse, redusert passiv bevegelighet.
- Sideligamenter:
- Strakt kne: kapsel, korsbånd, m. popliteus.
- 30° fleksjon: MCL og LCL primære stabilisatorer.
- Valgusstress → MCL, varusstress → LCL.
- Testegenskaper valgusstress: smerte (sens 78, spes 67), instabilitet (sens 91, spes 49).
- Isometrisk testing:
- Knefleksjon (hamstrings), ekstensjon (quadriceps), innadrotasjon (semitendinosus, semimembranosus, sartorius, gracilis, popliteus), utadrotasjon (biceps femoris).
- Klinikk: hamstringskader, quadriceps-ruptur/tendinopati, pes anserinus-tendinopati/bursitt, popliteus-tendinopati.
- Palpasjon:
- Quadricepssenen, patella (prepatellær bursitt), varme (artritt/bursitt).
- Patella dip test (væske >20 ml).
- Bakers cyste (sekundært til artrose/artritt/meniskruptur).
- Kollateralligamenter (ømhet i feste).
- Hopperkne (apex patella), løperkne (tractus iliotibialis), chondromalacia (grind test).
- Spesialtester:
- Menisk: McMurray, Apley, Thessaly, Eges. Panel (alle fire positive): medial menisk sens 86/spes 72, lateral menisk sens 88/spes 92.
- Korsbånd: Fremre skuffe (ACL), Lachman (ACL), posterior skuffe (PCL). Begge ACL-tester positive → spes 95, LR+ 15.
- Ottawa kne-regler: røntgen ved akutt traume hvis ≥55 år, isolert smerte patella/fibulahode, manglende belastning, eller manglende fleksjon 90°.
- Kliniske bilder:
- Artrose: kapsulært mønster, hard endefølelse, hydrops genu.
- Meniskskade: ikke-kapsulært mønster, belastningssmerter, låsning, positiv testpanel.
- Fritt benlegeme: ikke-kapsulært mønster, uregelmessig sperre/låsning.
- Ligamentskader: MCL vanligst, LCL ofte kombinert, ACL/PCL via skuffe/Lachman.
- Bursitt/patellofemorale smerter: prepatellær, pes anserinus, tractus iliotibialis, chondromalacia.
- Muskel-/sene: quadriceps-ruptur/tendinopati, hamstringskade.
Viktige kunnskaper og ferdigheter
Forstå
- Normal kneanatomi, akser og bevegelsesutslag.
- Patofysiologi: artrose, meniskskader, korsbåndsskader, sideligamentsskader, bursitter, tendinopatier.
- Testegenskaper: valgusstress, meniskpanel, skuffetester, Ottawa kne-regler.
- Differensiering: kapsulært vs. ikke-kapsulært mønster, intraartikulær væske, låsning.
Utføre
- Systematisk inspeksjon (gang, symmetri, Q-vinkel, atrofi).
- Aktiv og passiv ROM-testing.
- Isometriske tester for fleksjon, ekstensjon, rotasjon.
- Palpasjon av sener, bursa, leddspalte, væske, cyste.
- Spesialtester for menisk, korsbånd, sideligamenter.
- Bruke Ottawa kne-regler ved akutt traume.
Vurdere
- Integrere funn til helhetlig klinisk bilde.
- Skille artrose, meniskskade, fritt benlegeme, ligamentskade, bursitt, tendinopati.
- Identifisere røde flagg (traume, låsning, ruptur).
- Beslutte konservativ behandling vs. henvisning (ortoped, billeddiagnostikk).
Inspeksjon
- Vurder
- Ta stilling til
Se på pasienten mens hun går fram og tilbake på gulvet.
- Forfra
- Bakfra
Se etter:
- Halting
- Leddutslag i kneet
- Symmetri (inspiser tuberositas tibia, tenk på Mb Osgood-Schlatter)
- Muskelatrofi (spesielt m. vastus medialis)
- Q-vinkel. Vinkelen mellom m. rectus femoris og patellarsenen.
Forfra

Bakfra

Lateralt

Medialt

Q-vinkel


Q-vinkelen er mellom m rectusfemoris og patellarsenen
- Normal Q-vinkel er 13° for menn, 18° for kvinner. Korresponderer med en normal fysiologisk valgus
- Ved genu valgum (kalvbent) øker Q-vinkelen
- Q-vinkel utenfor normalområdet er assosiert med utvikling av chondromalacia patella og risiko for patellaluksasjon
Fokusområde: Vurder gangmønster, symmetri, muskelatrofi og akseavvik.
- Haltende gange, normale leddutslag ved gange
- Symmetriske konturer i kneleddet
- Tuberositas tibia → vurder Osgood-Schlatter
- Atrofi i m. vastus medialis (inaktivitetsatrofi)
- Q-vinkel: menn 13°, kvinner 18°
- Økt Q-vinkel → genu valgum, risiko for chondromalacia patella og patellaluksasjon
- Redusert Q-vinkel → genu varum
Aktive bevegelser
- Vurder
- Ta stilling til
Undersøkes best i ryggleie med fleksjon og ekstensjon.
Fleksjon

Ekstensjon

Fokusområde: Kartlegg aktiv bevegelighet, kraft og smerteprovokasjon.
- Normverdier:
- Fleksjon: 145° (115–160°)
- Ekstensjon: 5° (0–10° hyperekstensjon)
- Innadrotasjon: 22° (20–25°)
- Utadrotasjon: 30° (25–35°)
- Aktiv knebøy: vurder kraft, smerter, krepitasjon
- Smerter/knitring → prepattelær bursitt, femuropatellar artrose, oppflosset patellarbrusk
Passive bevegelser
- Vurder
- Ta stilling til
Fleksjon 170°

Ekstensjon 0-10°

Grader passiv bevegelighet kne

of the Hip, Knee and Ankle Joints in Male Subjects, 30–40 Years of Age, Acta Orthopaedica Scandinavica, 53:2, 205-208
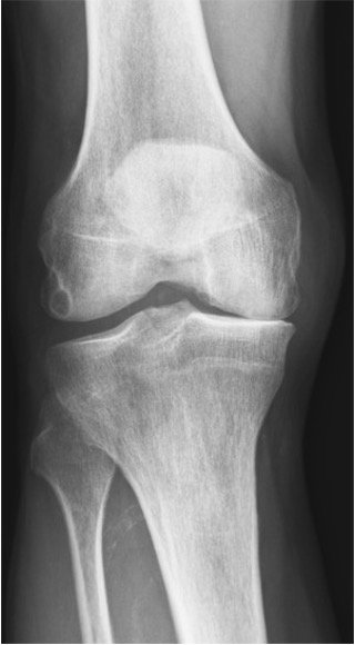
Artrose kneledd
Røntgen av medial kneartrose

Kliniske funn
Ved kneartrose redusert passiv bevegelighet i kapsulært mønster med mer redusert fleksjon enn ekstensjon, hard endefølelse
Innadrotasjon

Utadrotasjon

Sideligamenter: Testes først med strakt kne og deretter med kneet 20° flektert. Med strakt kne sidestabiliseres kneleddet av ligamentene i bakre kapsel, bakre og fremre korsbånd og m poplitus. Når kneleddet flekteres til 20° blir collateralligamentene primære stabilisatorer alene og valgusstress (adduksjon) tester nå ligamentum collaterale mediale og varusstress (abduksjon) tester ligamentum collaterale laterale.
Varus med strakt kne, Ligamentum collaterale laterale. Smerter.

Varus med 30° flektert kne, Ligamentum collaterale laterale. Instabilitet.

Valgus med strakt kne, Ligamentum collaterale mediale. Smerter.

Valgus med 30° flektert kne, Ligamentum collaterale mediale. Instabilitet.

Kne, ligamenter og muskelfester

Kne sideinstabilitet

Kne sideinstabilitet
Valgusinstabilitet
- Primær stabilisator
- Lig. collaterale mediale
- Sekundære stabilisatorer
- Bakre mediale kapsel
- m. semimebranosus
- Fremre og bakre korsbånd
- Pes anserinus (m sarorius, m gracilis, m semitendinosus)
- m. gastrocnemius mediale hode
- Kompresjon av laterale menisk
Varusinstabilitet
- Primær stabilisator
- Lig. collaterale laterale
- Sekundære stabilisatorer
- Bakre laterale kapsel
- m. popliteus
- Fremre og bakre korsbånd
- Traktus iliotibialis
- m. gastrocnemius laterale hode
- Kompresjon av mediale menisk
Fokusområde: Vurder kapsulært mønster, endefølelse og smerteprovokasjon.
- Fleksjon/ekstensjon → registrer utslag, smerter, endefølelse
- Hyperekstensjon → vurder grad, smerte, endefølelse
- Rotasjon ved 90° fleksjon → innad- og utadrotasjon
- Artrose: kapsulært mønster (fleksjon mer redusert enn ekstensjon), hard endefølelse, redusert passiv bevegelighet
Sideligamenter og tester
Fokusområde: Avdekk medial/lateral instabilitet og differensier smerte vs. ruptur.
- Strakt kne: stabilitet fra kapsel, korsbånd, m. popliteus
- 30° fleksjon: MCL og LCL primære stabilisatorer
- Valgusstress: tester MCL
- Varusstress: tester LCL
- Klinikk:
- MCL-skade: vanligst, ofte isolert
- LCL-skade: sjeldnere, ofte kombinert med menisk/korsbånd
Isometriske bevegelser
- Vurder
- Ta stilling til
Hamstringsskade
- Strekkskade, overrivning av muskelfibrer.
- Vanligvis skjer overrivningen i overgangen mellom muskel og sene
- Blødning som i mange tilfeller kan være betydelig på baksiden av låret
- I noen tilfeller medfører strekkskaden at festet til beinet på bekkenkanten, tuberositas ischii, rives av
- Muskelen løsner fra bekkenet (proksimal hamstring avulsjonsskade)
- Kan oppstå ved kraftig bøyning i hofteleddet samtidig som kneet er utstrekt
- Overses ofte tidlig i forløpet
- Bicepstendinitt og avulsjonsskade av festet på fibula
- Resultat av overbelastning eller skade med avrivning av festet på fibula (røntgen)
Engebretsen L. I: Idrettsskader (Bahr R, Mæhlum S, red.). Hamstringskade – strekkskade på baksiden av låret. Oslo: Gazettebok, 2002.
Pes anserinus tendinopati og bursitt

- Senen som dannes av de tre musklene m. gracilis, m.sartorius og m. semitendinosus
- Senene til disse tre musklene går sammen i en felles sene medialt tibia, innadroterer kneleddet
- Pes anserinus tendinopati og bursitt betegner en betennelse i senen eller underliggende bursa
- Symptomene er verkende smerter på innsiden av leggen like under kneet. Smertene forverres ved gange i trapper eller ved huksitting, eller etter løp og hopp
Fokusområde: Test muskelkraft, smerte og innervasjon.
- Knefleksjon: hamstrings (n. ischiadicus L5–S2)
- Kneekstensjon: quadriceps (n. femoralis L2–L4)
- Innadrotasjon: semitendinosus, semimembranosus, sartorius, gracilis, popliteus
- Utadrotasjon: biceps femoris
Klinikk:
- Hamstringskader (strekk, avulsjon, tendinitt)
- Quadriceps-ruptur/tendinopati
- Pes anserinus-tendinopati/bursitt
- Popliteus-tendinopati
Palpasjon
- Vurder
- Ta stilling til
Patella palpasjon samtidig som knebøy. Krepitasjon. Smerte.


Smerter fra
- Oppflosset leddbrusk i femuropatellarleddet
- Bursa prepatellaris, suprapatellaris, infrapatellaris
- Quadricepssene
- Patellarsene
Se og palper etter hevelse (husk å palper i fossa poplitea etter Bakercyste), rubor og varme.
Sjekk patella dip, positiv test dersom > 20ml som tyder på intraartikulær væske.
Varme

Patella dip test, positiv når > 20 mø intraartikulær væske

Kne, recessus suprapatellaris

Ligamentum collaterale mediale

Medial leddbåndskade: Palper etter ømhet i leddspalten på strakt kne og med 90 grader fleksjon. Dersom smerter i leddspalten på både strakt og flektert kne mistenk meniskskade.
Ligamentum collaterale laterale

Ligamentum collaterale
Mediale

Laterale

Patellarsenen

Traktus iliotibialis

Patellarsene
Patellarsene, lokalisasjon hopperkne «Jumper’s knee»
Vanlig diagnose i idretten, volleyball og fotball. Gradvis smertedebut. Skyldes degenerative forandringer i senen. Symptomer som ved patellofemoralt smertesyndrom.

Traktus iliotibialis
Traktus iliotibialis med bursa, lokalisasjon løperkne «Runner’s knee»
Betennelse i senen og/eller bursa. Aktivitetsbetinget smerte, løping. Lokal ømhet og krepitasjon ved palpasjon. Behandles med tøyninger hos fysioterapeut. Steroidinjeksjon kan være et alternativ ved langvarige plager.

Backer cyste

Palpasjon knehase
Backer cyste

Backer cyste, lokalisasjon

Rumpert Backer cyste
- Forekommer hos pasienter med kjent kneleddsproblematikk
- Revmatisk sykdom
- Artrose
- Degenerativ menisklidelse
- Akutt smerte, hevelse i leggen og ankelødem
- Differensialdiagnose er dyp venetrombose (DVT)
Fokusområde: Systematisk kartlegging av strukturer for å bekrefte tentative diagnoser.
- Quadricepssenen → tendinopati/ruptur
- Patella → prepatellær bursitt
- Varme → artritt, bursitt
- Patella dip test → intraartikulær væske (positiv test når >20 ml intraartikulær væske)
- Bakers cyste → sekundært til artrose/artritt/meniskruptur; kan forveksles med DVT ved ruptur av Bakers cyste
- Kollateralligamenter → palpasjonsømhet i feste styrker mistanke om skade
- Hopperkne (jumper’s knee) → apex patella, patellarsene
- Løperkne (runner’s knee) → tractus iliotibialis-tendinopati/bursitt lateralt
- Chondromalacia patella → patellar grind test
Vurdering av klinikk basert på funksjonsundersøkelse
Mange tilstander i kneleddet er utløst av traume. Det er derfor veldig viktig at man i anamnesen tar hensyn til gamle eventuelt nylig oppståtte traumer. I den eldre befolkningen er kneleddsartrose den vanligste tilstanden. Klinikken er sammensatt av smerter ved aktivitet og ofte leddhevelse. Ved klinisk undersøkelse foreligger det ofte et kapsulært bevegelsesmønster ved passive tester (mer redusert fleksjon enn ekstensjon). Hydrops testes med patella dip test.
Ved et ikke-kapsulært bevegelsesmønster må man tenke på meniskskade etter traume eller meniskdegenerasjon som vi ofte ser i et artroseledd. Her vil ofte passiv ekstensjon være nedsatt og smertefull i endepunkt bevegelsesutslag pga at menisken kan klemmes i leddspalten ved ekstensjon. Dersom det er mistanke om meniskskade må man utføre menisktester, vanligvis McMurrey test. Et ikke-kapsulært bevegelsesmønster kan man også finne ved fritt benlegeme i kneleddet eller dersom det foreligger en ligamentskade (oftest mediale kollateralligament) eller en prepatellar bursitt.
Dersom det finnes normale bevegelsesutslag og negative isometriske tester må man tenke på at det kan foreligge chondromalacia patella og foreta en Grinding test for å avklare om det er årsaken til smertene.
Dersom det foreligger normale bevegelsesutslag og smerter ved isometrisk ekstensjon i kneleddet må man tenke på tendinopati og/eller partielle rupturer i quadricepsmuskulatur rundt kneleddet, ved smerter ved isometrisk fleksjon må man tenke på skade i hamstringsmuskulatur.
Dersom pasienten forteller om traume i kneleddet eller om en kjent korsbåndskade er det viktig å undersøke på stabilitet. Fremre korsbånd tester med «Skuffetesten» og ligamentum collaterale mediale og laterale med valgus og varus press på lett flektert kneledd.
Fokusområde: Integrer funn fra inspeksjon, ROM, isometriske tester, palpasjon og spesialtester til en helhetlig konklusjon og tiltak.
- Traumehistorie: Vurder gamle og nye vridnings-/direkteslagstraumer; styrer sannsynlighet for MCL/LCL, menisk og korsbånd.
- Artrose: Kjennetegn: kapsulært passivt mønster (fleksjon mer redusert enn ekstensjon), hard endefølelse, hydrops genu.
- Meniskskade: Kjennetegn: ikke-kapsulært mønster, smerter ved vektbelastning, palpasjonssmerter i leddspalte, evt. låsning; positiv McMurray/Apley/Thessaly/Eges.
- Fritt benlegeme: Kjennetegn: ikke-kapsulært mønster, uregelmessig sperre/låsning.
- Ligamentskade: Vurdering: MCL vanligst ved vridning; test med valgus/varus i strakt (smerte) og 30° (instabilitet). LCL ofte kombinert med menisk/ACL. ACL/PCL → skuffe og Lachman.
- Bursitt og patellofemorale smerter: Indikasjon: prepatellær bursitt, pes anserinus-bursitt/tendinopati, tractus iliotibialis-bursitt; chondromalacia patella (grind test).
- Muskel-/sene: Vurdering: quadriceps-tendinopati/ruptur ved smerte/svikt i ekstensjon; hamstringskade
Spesialtester
Sluttkompetanse
- Gjøre relevant klinisk undersøkelse på en kyndig og skånsom måte
- Tolke kliniske funn og kunne sette opp tentative diagnoser
- Foreslå henvisning og behandling
Sist oppdatert
31.08.2021